查看更多
该研究针对干细胞治疗中人骨髓间充质基质细胞(MSC) 移植需逃避早期免疫反应、保留在移植部位的核心需求,开发了新型微流体高通量单细胞封装系统;该系统以2% w/v 海藻酸盐为封装材料,通过海藻酸盐羟基与细胞糖萼形成氢键实现无钙交联,规避传统钙交联的细胞毒性与尺寸不可控问题,最终实现2000 个细胞/min 的最佳单细胞包封率,微胶囊平均尺寸达28.2±3.7µm且形态可复制;实验验证显示,封装细胞可快速粘附组织培养塑料,24h 后能破坏微胶囊外壳并增殖,3 天出现有丝分裂,且在与不同密度 U937 巨噬细胞共培养 48h 内保持结构完整,为符合高级治疗药物产品(ATMP)标准的 MSC 微创治疗(骨关节炎、心肌梗死)奠定基础。
一、研究背景与目标
干细胞治疗中,人骨髓间充质基质细胞(MSC) 因多向分化(脂肪细胞 / 软骨细胞 / 成骨细胞)、旁分泌调节(如 VEGF)及抗炎特性,被用于骨关节炎软骨修复(23 项非案例研究,13 项随机对照)与心肌梗死干预,但存在两大核心问题:
移植后易受早期免疫反应攻击(如关节内肿胀、下背痛,7 天缓解);
传统载体局限:组织工程支架不适配微创注射,钙交联藻酸盐微珠存在钙毒性、尺寸不可控及油相 / 未反应钙去除耗时(危害细胞活力)。
研究目标:开发一种高通量、可重复、无钙交联的微流体 MSC 单细胞封装系统,满足微创移植需求,同时保障细胞粘附性、活力与免疫保护。
二、材料与方法
2.1 细胞培养
2.2 微流控封装系统
核心设备:ElveFlow 微流体系统(法国),含压力控制器、蛇形几何芯片(延长通道防细胞聚集)、DG-DM-60/1.2 mm 液滴发生器;
消毒流程:所有组件(管道、芯片)用 70% v/v 乙醇 / 水消毒 1h,入口处 0.2μm 过滤器过滤;
关键操作参数:
气压:细胞悬液通道300mbar(防聚集),海藻酸盐通道400mbar;
海藻酸盐浓度:测试 1%、2%、3% w/v(Sigma Aldrich,Mw 120K-190K Da);
收集与孵育:封装后收集于无菌 Eppendorf 管,悬浮 30min 后用于实验。
2.3 表征与功能验证
形态与尺寸:DAPI 染色(细胞核可视化),Image J 软件测量 30 个微胶囊直径(校准像素为微米);
粘附与活力:2×105 个细胞 /ml 接种于组织培养塑料,37℃、5% CO2 孵育 3 天,Axion 无线显微镜观察;
免疫保护:与 U937 单核细胞 / 巨噬细胞(密度 2×105~5×105 个 /ml)共培养 2 天,延时显微镜监测微胶囊完整性。
三、关键实验结果
3.1 系统参数优化
3.2 微胶囊尺寸与涂层厚度
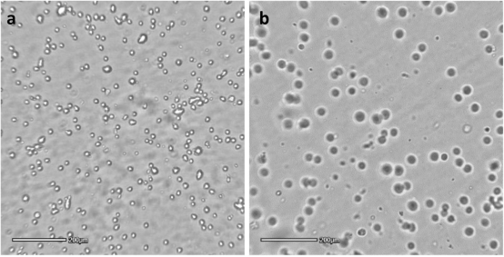
2% w/v 海藻酸盐封装的 MSC:平均尺寸28.2±3.7µm,涂层厚度间接估计为18.9µm;
未封装 MSC:平均尺寸 9.3±1.8µm;
1% w/v 海藻酸盐封装:涂层厚度仅 5µm(免疫保护与粘附潜力不足)。
3.3 粘附与细胞增殖能力
粘附性:封装细胞几分钟内沉积于孔底,未封装细胞漂浮数小时;
增殖活力:24h 后封装细胞开始破坏微胶囊外壳,3 天观察到有丝分裂迹象(黑色箭头,图 5),证明保留增殖能力。
3.4 免疫保护效果
共培养实验:U937 巨噬细胞在 7~8h 开始攻击封装 MSC,24h 形成密集包围簇;
保护结果:无论 U937 接种密度如何,封装 MSC 在48h 内保持结构完整,验证早期免疫屏蔽作用。
3.4. 讨论与分析
技术突破:通过海藻酸盐羟基与细胞糖萼形成直接氢键,首次实现无钙交联的 MSC 单细胞封装,规避传统钙交联的毒性与油相去除问题;
优势对比:蛇形芯片设计减少压降与堵塞,2000 个细胞 /min 的高通量远超传统方法,且微胶囊尺寸适配微创注射;
临床适配性:藻酸盐获 FDA 批准用于医疗,系统符合GMP 规范,可容纳于洁净室或手术室,适配骨关节炎(关节内注射)与心肌梗死(局部注射)场景;
局限性:体外模型中 U937 密度(2×105~5×105 个 /ml)低于体内炎性关节病急性期(5×104 个 /ml,低 10 倍),需后续体内实验验证。
3.5. 研究总结与意义
本研究成功开发了微流体高通量 MSC 单细胞封装系统,核心成果包括:
确定 2% w/v 海藻酸盐、1×105 个 /ml 细胞密度等最优参数,实现 63% 包封率与 28.2±3.7µm 的可控微胶囊尺寸;
验证封装细胞保留粘附、增殖能力,且微胶囊提供 48h 免疫保护;
系统符合 ATMP 标准,为 MSC 微创治疗(骨关节炎、心肌梗死)提供可规模化、规范化的制造方案,推动干细胞治疗从临床前向临床转化。
四、关键问题与答案
问题 1:该研究开发的微流体 MSC 封装系统,相比传统藻酸盐封装技术,核心技术创新点是什么?
答案:核心创新在于无钙交联机制与高通量可控性:
摒弃传统藻酸盐 - 钙离子交联(避免钙毒性与尺寸不可控),通过海藻酸盐羟基与细胞糖萼形成直接氢键实现稳定涂层;
采用蛇形几何微流控芯片与精准气压控制(细胞 300mbar、海藻酸盐 400mbar),解决传统微流体通道堵塞问题,实现2000 个细胞 /min 的高通量封装;
微胶囊尺寸精准可控(28.2±3.7µm),且无需后续油相或未反应钙去除步骤,缩短流程并保障细胞活力(24h 破壳增殖,3 天有丝分裂)。
问题 2:研究通过哪些实验验证了“封装 MSC 满足临床移植需求” 这一核心假设?具体结果如何?
答案:通过三大功能验证实验,证明封装 MSC 的临床适配性:
粘附性验证:2×105 个细胞 /ml 接种于组织培养塑料,封装细胞几分钟内沉积孔底,未封装细胞漂浮数小时,证明其可快速保留在移植部位;
活力与增殖验证:延时显微镜观察显示,封装 MSC 在24h 后逐渐破坏微胶囊外壳,3 天出现有丝分裂迹象,证明其保留增殖能力(核心治疗功能);
免疫保护验证:与 2×105~5×105 个 /ml 的 U937 巨噬细胞共培养 48h,尽管巨噬细胞 7~8h 开始攻击并形成包围簇,但封装 MSC 始终保持结构完整,证明其可抵御早期免疫反应。
问题 3:该微流体封装系统在临床转化中,相比现有 MSC 治疗方案(如直接注射、支架载体),具备哪些独特的临床优势?
答案:具备三大临床优势,适配微创治疗场景:
微创兼容性:微胶囊尺寸 28.2±3.7µm,可通过内窥镜或局部注射给药,规避传统组织工程支架需外科植入的问题,适配骨关节炎(关节内注射)与心肌梗死(局部注射);
制造规范性:系统符合GMP 标准,组件可消毒且体积紧凑,可容纳于洁净室或手术室,解决现有方案制造流程不可控(如细胞剂量异质性)的问题;
材料安全性:采用 FDA 批准的藻酸盐材料,无钙交联避免毒性,且微胶囊涂层厚度 18.9µm(1% 浓度仅 5µm),既保障免疫保护(48h 屏蔽巨噬细胞),又不影响细胞后续增殖与功能发挥(24h 破壳)。
关注我们了解更多内容

ELVEFLOW认证的中国授权经销商:

上海迹亚国际商贸有限公司
Gaia China Co.,Ltd.
电话:13818732961/18201779599
邮箱:info@gaiachina.com.cn
网址:http://www.gaiachina.com.cn
地址:上海市闵行区七莘路108广场南楼2705室
平台信息提交-隐私协议
· 隐私政策
暂无内容
中国/China
新加坡/Singapore
马来西亚/Malaysia
印度尼西亚/Indonesia